當前位置: 主頁 > 專題報導 >
 

戰鬥在疫情前線的嵌入式AI

本文作者:徐俊毅       點擊: 2020-08-12 14:05
前言:
隨著COVID-19病毒陸續席捲全球,保持社交距離、強制佩戴口罩、居家令等一系列法規相繼在各地實施,人們的生活方式在短時間內發生了巨大改變,一方面大量的應用和需求湧入互聯網和雲端服務,而另一方面,嵌入式AI應用在許多領域落嶄露頭角。

NXP 可解釋的AI(xAI)助力COVID-19診斷
恩智浦的xAI研究團隊相信恩智浦的xAI概念可能有助於快速檢測COVID-19患者疾病。
 
圖片來源:nxp.com

AI通常被視為一個「黑盒子」,我們都不知道演算法是如何運作,但這也是它特別有效的部分原因;AI並不仰賴人類的想法來建立演算法邏輯。但是當AI無法正常工作時,我們就需要獲得一定程度的可解釋性,瞭解該如何妥善修正模型。
 
“恩智浦半導體認為認知不確定性是可以降低的,用戶可以透過提高運算複雜度,增加更多的訓練層數,從而降低模型的不確定性,當然要注意避免過度擬合(over-fit)。對於輸入不確定性,神經網路只能報告輸入有問題,因此我們應該對輸出保持謹慎態度。你希望神經網路能夠識別這種局限,最後由人類決定是否需要品質更好的輸入,或完全拒絕輸出。這就是恩智浦的可解釋AI (explainable AI,xAI)概念。”恩智浦嵌入式處理器技術和業務戰略主管Gowrishankar Chindalore介紹說。
 
恩智浦嵌入式處理器技術和業務戰略主管Gowrishankar Chindalore

目前恩智浦已與某些具先進設備的醫院互動, 以瞭解恩智浦xAI 技術如何幫助目前面臨的醫療保健挑戰。
 
除了規定的PCR測試和診斷方案,CT放射學和X射線影像的使用提供了快速的替代檢測功能。通過適當培訓的xAI模型來處理CT和X射線影像,就能區分未感染病例和感染病例。xAI能夠提供即時推理可信度和可解釋的洞察,以幫助臨床人員確定下一步治療方案。
 
xAI研究團隊相信推理模型已經趨於成熟,目前正在與歐洲和美洲的醫學和AI專家進行討論。但是,為了進一步推動研究,我們必須獲取更大的匿名資料集,積極尋求新冠肺炎研究人員和潛在合作夥伴的回饋,共同合作以改進這種檢測技術。
 
xAI使我們能夠在涉及不確定性的情況下,作出更接近人類的反應。它為基於概率的決策分類增加了確定性和可行度。
 
“除了在醫療保健應用中,我們在汽車、工業的關鍵安全系統中也發現了xAI的機會。”

Rokid雲鏡測溫與AR技術結合
位於杭州的Rokid公司,是專注于AR、智慧音箱產品的一家初創公司,成立於2014年。
 
“我們的AR眼鏡最初的設計理念是用在工業現場,讓工作人員透過AR眼鏡快速發現溫度異常的設備、短路的線路等等,新冠疫情的需求促使我們對產品進行了調整。” 公司創始人兼CEO祝銘明說
 
Rokid Glass 雲鏡(圖片來源:rokid.com)

  
Rokid雲鏡 工作人員只需帶上隨時觀察到周圍人群的體溫狀況 (圖片來源:rokid.com)
 
這款測溫專用AR眼鏡,重量為100多克,支援單人測溫和多人測溫兩種模式,最多可同時對10人進行動態測溫,1 分鐘最高可以檢測近千人。針對人臉測溫更精准採用全新的非製冷焦平面紅外熱成像感測器,超過10萬個紅外圖元和AI矯正糾偏演算法,可以對35.3℃~42℃內的溫度進行檢測,測溫精度可達±0.3°C。眼鏡搭載了AI人臉識別和多點均值擬合測溫技術,精准測溫時間不超過 0.2 秒。
 
依託先進的嵌入式AI視覺處理技術,Rokid雲鏡的測溫識別功能可實現離線工作,無需將資料上傳到雲端在進行處理。
 
在疫情需求的助推下,Rokid雲鏡已經迅速銷售至全球30多個國家和地區。
 
“這可能是目前為數不多、且落地的AR殺手級應用之一。”一位業內人士評價

ARM參與銀行的防疫方案
 
 
Arm 物聯網事業群業務總監 粘靜芳
 
研揚科技與Arm安謀國際科技共同合作研發兩款應用在銀行裡的防疫方案:一為偵測銀行來訪客戶體溫的設備;另一方案則為智慧辦公室應用針對多間訪客會議室進行AI設備檢測。
 
第一個應用是體溫量測,在進入銀行的閘門上放置紅外線攝像儀,來訪的銀行客戶,通過閘門時會自動偵測體溫,將數據傳至Arm的Pelion 物聯網平臺上進行分析。

“不同的主IC有不同的傳輸方式可以選擇,例如: WIFI、LoRA或是SubG的傳輸。在此同時,也搭配AI邊緣運算,直接進行VIP的人臉辨識,讓銀行可以有相對應的接待及訊息推播。”Arm 物聯網事業群業務總監 粘靜芳介紹

這家銀行也與Arm及研揚合作利用AI邊緣運算的技術,來進行銀行理財戰情簡報室設備的監測。因為理財專員需要個別獨立的小會議室與VIP客戶進行財務簡報及分析,此時簡報室裡的設備是否齊備,理專在中央管理系統就可以一目了然。不會發生帶領VIP客戶到了會議室,才發現會議室被佔用或打開會議室才發現沒有椅子的尷尬場面。透過Arm Pelion物聯網平臺大幅縮短設計、部署和管理多個分行系統。統一的介面也讓總行與分行的管理一致且方便使用。
 
DarwinAI為嵌入式設備構建COVID-Net 協助診斷
DarwinAI和Arm合作來幫助醫療行業。為嵌入式設備快速的帶來更高效,更具成本效益的深度學習解決方案。
 
COVID-Net是一個為幫助醫療專業人員快速篩查COVID-19感染而設計的輔助工具。其中分類和診斷COVID-19感染最大的瓶頸之一是專家解析射線照相圖像需要花費很長時間,可能長達20分鐘或更久。 因此,嵌入式輔助診斷系統有可能説明挽救生命並更有效地引導稀缺的醫療資源。
 
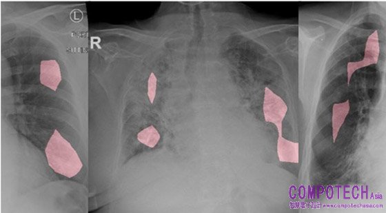
用GenSynth識別來自不同COVID-19病例的CXR圖像及其相關的關鍵因素(紅色部分) (圖片來源,arm.com)
 
DarwinAI的COVID-Net由1x1卷積層和深度卷積層組成,是一種高效的微架構設計,有COVIDNet-CXR4-A,COVIDNet-CXR4-B和COVIDNet-CXR4-C三個模型共設計人員參考,每個模型均使用GenSynth平臺構建,在性能與效率之間權衡,均能對三種結果進行預測:
1. 無感染(正常)
2. 非COVID-19感染(例如,非COVID19病毒,細菌等)。
3. COVID-19病毒感染
 
其中,COVIDNet-CXR4-C代表了最緊湊的模型,能夠在嵌入式環境中運行良好。透過使用ARM的Cortex系列處理器,在硬體設施不夠完善的偏遠地區發揮較大的作用。
 
位於路易士安娜州鄉村的COVID-19醫學影像分析中心(圖片來源:arm.com)
 
 
除了上述一些應用案例,醫用消毒機器人,警用無人機,以及在物流領域,無論是為了節約緊張的醫療資源,還是防止聚集發生疫情,嵌入式AI正在發揮著越來越重要的作用。

 

 

電子郵件:look@compotechasia.com

聯繫電話:886-2-27201789       分機請撥:11